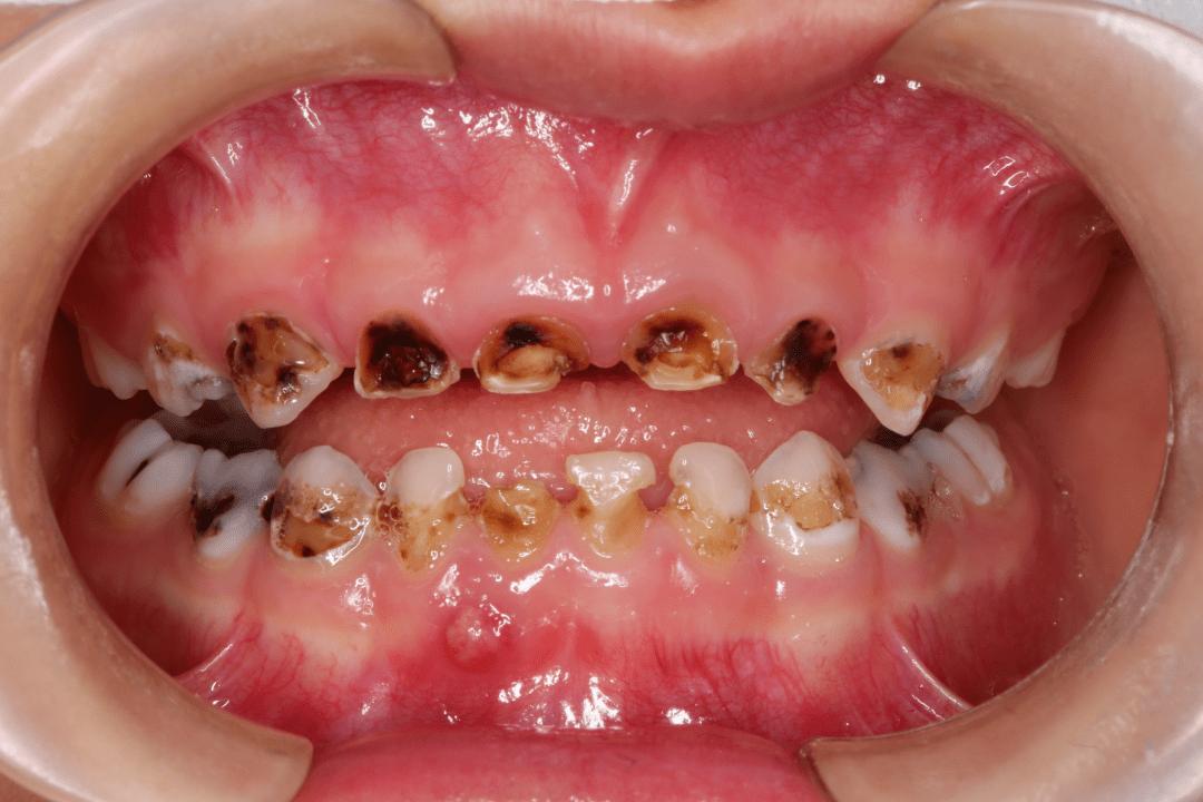
4岁孩子蛀牙牙疼怎么办?解决4岁孩子蛀牙牙疼的办法
作者
近期有些网友想要了解4岁孩子蛀牙牙疼怎么办?解决4岁孩子蛀牙牙疼的办法的相关情况,小编通过整理给您分析,同时介绍一下有关信息。
4岁孩子蛀牙牙疼一般是需要进行一般治疗、物理治疗、药物治疗、根管治疗等方式,为了孩子的口腔健康,一旦出现牙疼,需要前往专业的口腔医院进行诊断,避免造成严重的情况。
解决4岁孩子蛀牙牙疼的办法
1.一般治疗
一般治疗指的就是4岁孩子如果平时的牙痛没有明显,在日常的生活当中需要饭后漱口,早上起来第1件事情刷牙,有效的做到口腔内部卫生健康,避免出现蛀牙情况严重。
2.物理治疗
出现明显的蛀牙,家长先是用冰块冷敷在孩子疼痛的部位,这么做是可以有助于血管的收缩,缓解牙痛的症状。
3.药物治疗
一般在医生的指导下使用布洛芬颗粒、布洛芬混悬液等一些药物进行治疗,但具体的是需要根据孩子的实际情况进行。
4.根管治疗
如果孩子蛀牙的问题反复的发作,已经影响到正常的生活,由口腔医生进行操作,切断牙神经,达到解决牙痛的问题,如果牙体的损失比较大,需要直接的进行拔牙。
实际上要从孩子小的时候就需要开始做好防蛀牙的工作,首先孩子从婴儿时期就需要家长帮助孩子进行刷牙,三岁的时候可以使用适量的牙膏,在3~4岁时进行乳磨牙封闭、7~9岁齿封闭、11~13岁第二恒磨牙、前磨牙封闭,每年都需要例行的进行口腔的检查,按照孩子的情况顺利的进行洗牙。
目录



